Membrete e Inicio
boton wassap

Resección de frenillo lingual con electrocirugía | Clínica Manhood Puerto Varas

Caso de frenillo lingual corto con limitación funcional severa. Se realizó resección mediante electrocirugía, sin sutura, con mínima hemorragia, liberación inmediata de la lengua y control postoperatorio favorable.

Cuando un frenillo lingual corto limita de verdad la función, no se trata solo de anatomía: se trata de movimiento, fonética, seguridad y vida cotidiana.

Situación inicial

Paciente masculino de 13 años consulta por movilidad reducida de la lengua, dificultad para pronunciar ciertos fonemas y una limitación funcional severa, que incluía la imposibilidad de realizar acciones tan simples como silbar. A esto se sumaba una incomodidad social evidente frente a otros jóvenes.

Diagnóstico clínico

Resección frenillo lengua
Severa limitación en motilidad lingual

Al examen clínico se observó un frenillo lingual de inserción corta, con restricción mecánica marcada y compromiso funcional evidente.

Indicación

Dado el nivel de limitación, se indicó resección de frenillo lingual como tratamiento para liberar la lengua y permitir la recuperación progresiva de su motilidad y función.

Tratamiento realizado en Clínica Manhood

El procedimiento se realizó mediante electrocirugía, una técnica que permite un corte preciso, una intervención limpia y mínima hemorragia, sin necesidad de sutura en este caso.
Desde el inicio se explicó al paciente y a su acompañante que la capa blanco-amarillenta visible durante la cicatrización corresponde a fibrina, una costra flexible normal del proceso reparativo y no un signo de infección.

Evolución inmediata

La lengua se liberó en el mismo acto quirúrgico, con mejoría inmediata del rango de movimiento. La intervención transcurrió de forma limpia, estable y con muy buen control local.

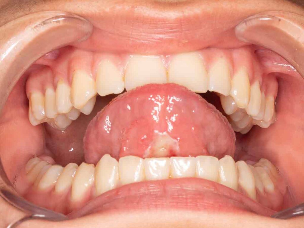
Control a las 18 horas

Resección frenillo postoperatorio 18 horas
Resección frenillo postoperatorio 18 horas sin dolor ni sutura

En el control postoperatorio precoz se observó ausencia de dolor y de hemorragia. La presencia de fibrina en la zona intervenida correspondía a una evolución normal y esperable.

Control a los 7 días

A los 7 días, el paciente no presentaba dolor ni molestias. La lengua mostraba libertad de movimiento y una motilidad funcional en progresiva reinstauración. La cicatrización seguía un curso normal.

Resultado

Evolución favorable, sin complicaciones.
Se obtuvo liberación funcional de la lengua, mejoría clínica evidente y una recuperación postoperatoria limpia.

Alta

Postoperatorio 7 días de resección frenillo lengua, sin dolor y recuperación 100% motilidad lingual
Postoperatorio 7 días de resección frenillo lengua

Paciente dado de alta, con evolución satisfactoria y controles dentro de lo esperado.

¿Notas limitación funcional, dificultad fonética o restricción de movimiento de la lengua?

Agenda una evaluación clínica en Clínica Manhood Puerto Varas y recibe un diagnóstico claro, una indicación precisa y un plan quirúrgico serio cuando realmente corresponde.

No todo frenillo lingual corto requiere la misma decisión.
Primero se diagnostica. Luego se indica. Y cuando corresponde intervenir, se hace con precisión, control y seguimiento.