Implantes dentales en Puerto Varas
Cuando falta uno o más dientes, el problema no es solo estético. Muchas veces también cambia la forma de masticar, la estabilidad de la mordida, el apoyo de los tejidos, la posición de los dientes vecinos y la seguridad para sonreír o hablar con naturalidad.
En Clínica Manhood abordamos estos casos como un servicio clínico y rehabilitador, no como una solución automática. Antes de indicar un implante, analizamos el espacio real disponible, la calidad y cantidad de hueso, la encía, la mordida, la higiene, la exigencia funcional del caso y la restauración final que hará sentido sobre ese implante. Esta lógica coincide con la información clínica pública de NHS y Healthdirect: los implantes no se indican por reflejo, requieren evaluación previa, varias etapas y una planificación que considere hueso, encías, salud general y opción restauradora.
Evaluación clínica con enfoque implantológico y rehabilitador.
No se trata solo de instalar un implante. Se trata de decidir si realmente corresponde, en qué condiciones vale la pena hacerlo y con qué diseño restaurador podemos ofrecer un resultado funcional, estable y sobrio en el tiempo.
Cuándo conviene evaluar un implante dental
Conviene evaluarse cuando falta un diente y ese espacio ya afecta estética, fonación, función o seguridad al masticar. También cuando faltan dos o hasta tres dientes en un sector acotado y el paciente quiere una solución fija, bien planificada y con una base biológica razonable.
La consulta también es pertinente cuando el diente aún está presente, pero su pronóstico es malo y ya se anticipa una extracción dental. En esos casos, muchas veces la decisión correcta no empieza por el implante, sino por ordenar primero la extracción, los tejidos y el plan restaurador.La consulta también es pertinente cuando el diente aún está presente, pero su pronóstico es malo y ya se anticipa una extracción dental. En esos casos, muchas veces la decisión correcta no empieza por el implante, sino por ordenar primero la extracción, los tejidos y el plan restaurador.
También conviene evaluarse cuando el espacio ausente lleva tiempo y empiezan a aparecer cambios en la mordida, desplazamientos de dientes vecinos o pérdida progresiva de soporte en el sector. Cuanto antes se entiende el caso, más ordenada puede ser la planificación.
Si quiere revisar también el contexto de un tratamiento conservador de endodoncia si es que hay dolor de muelas o dientes.
Qué resuelve esta página de servicio
Esta página no busca explicar toda la implantología ni competir con contenidos más amplios. Su función es otra: ayudarle a entender si un implante para 1, 2 o hasta 3 dientes ausentes puede ser razonable en su caso, cómo se toma esa decisión y cómo lo abordamos en Clínica Manhood con criterio clínico y planificación por etapas.
Aquí no estamos hablando de grandes reconstrucciones, maxilares completos ni rehabilitaciones de pronóstico heroico. El foco está en pérdidas puntuales, bien delimitadas, donde un implante unitario o una solución implantosoportada corta puede devolver función, estabilidad y presencia dentaria sin abrir tratamientos innecesariamente complejos.
Nuestra propuesta de tratamiento es simple, pero ética: que el paciente consulte porque entiende el problema, no porque fue empujado por una promesa exagerada. La venta correcta en salud parte por un diagnóstico serio, una indicación correcta y una explicación clara de lo que realmente puede lograrse.
“La indicación correcta vale más que cualquier épica quirúrgica.” — Dr. Robert Manhood
Qué tipo de casos aborda esta página
Cada caso se analiza por etapas. Esto permite ordenar el diagnóstico, controlar la urgencia cuando existe, y tomar decisiones con mayor claridad.
Implante unitario
Cuando falta un solo diente, un implante puede ser una alternativa fija y conservadora frente a otras opciones, porque permite reponer el espacio sin comprometer necesariamente los dientes vecinos para sostener un puente.
Dos implantes en un sector acotado
Cuando faltan dos dientes, puede ser razonable evaluar dos implantes o una solución restauradora breve sobre implantes, según distribución del espacio, carga funcional, soporte óseo y diseño final.
Hasta tres implantes en pérdidas puntuales
En algunos pacientes, la pérdida de hasta tres dientes dentro de un mismo sector permite una planificación implantológica acotada, seria y rehabilitadora. Aquí lo importante no es “poner más implantes”, sino decidir cuántos hacen sentido y cómo se integrarán a la restauración final.
Utilidad de dos o tres implantes
En casos muy seleccionados, dos o tres implantes también pueden ayudar a estabilizar una prótesis removible, si el hueso remanente y el diseño del caso lo permiten. Se trata de una indicación excepcional, no de una propuesta general. El objetivo es mejorar estabilidad y retención, no prometer una prótesis fija ni eliminar automáticamente el paladar en las superiores.

Antes de indicar un implante, primero hay que decidir si realmente corresponde
Un implante no debe indicarse solo porque falta un diente. Esa es una simplificación peligrosa. Primero hay que evaluar si existe hueso suficiente, si la encía está en condiciones adecuadas, si la higiene es compatible con el tratamiento, si la mordida permite una restauración estable y si el contexto general del paciente favorece un resultado predecible.
Healthdirect Australia resume bien esa lógica: antes de colocar un implante hay que verificar si hay hueso suficiente, encías sanas, condiciones médicas relevantes, medicamentos y factores de riesgo como tabaquismo o periodontitis. Cambridge y Guy’s & St Thomas’ añaden que la dentición debe estar estable y sin infecciones activas.
También hay que evaluar algo que muchas páginas comerciales omiten: la rehabilitación final. Un implante puede estar perfectamente integrado al hueso y, sin embargo, rendir mal si la corona, el perfil de emergencia, la carga o el diseño protésico no fueron resueltos con criterio rehabilitador.
Por eso en Clínica Manhood el implante no se entiende como un tornillo aislado. Se entiende como parte de un tratamiento completo: evaluación, cirugía, integración, restauración y control.
Cómo trabajamos estos casos en Clínica Manhood
Cada caso se analiza por etapas. Esto permite ordenar el diagnóstico, controlar la urgencia cuando existe, y tomar decisiones con mayor claridad.
1. Evaluación diagnóstica e imagenológica
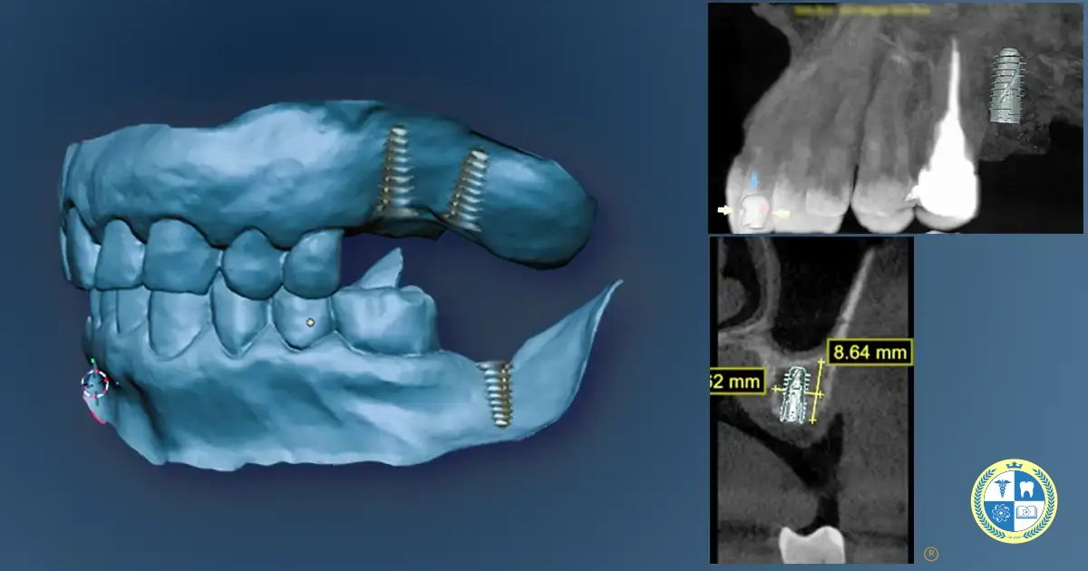
Primero definimos qué diente falta, qué hueso queda, cómo está la encía, qué ocurre con el espacio protésico y qué exigencia funcional tendrá la restauración. En algunos casos bastan radiografías convencionales; en otros se requiere imagen 3D para decidir con más precisión la posición y viabilidad del implante.
2. Definición de la alternativa más razonable
No todo espacio ausente termina en implante. A veces el mejor camino será un implante unitario. En otros casos conviene discutir puente, prótesis u otra estrategia. Una buena evaluación no busca imponer implantes; busca indicar lo que realmente conviene.
3. Orden biológico del caso
En algunos pacientes, el tratamiento no empieza con el implante. Empieza con ordenar primero la base biológica. Si hay pérdida ósea, defecto del reborde o necesidad de mejorar tejidos, puede ser razonable realizar injerto antes del implante o combinar procedimientos en casos seleccionados.
Cuando el caso lo amerita, esta etapa puede complementarse con recursos biológicos como plasma rico en proteínas, siempre como parte de una estrategia clínica seria y no como adorno comercial.
4. Fase quirúrgica e integración
La colocación del implante suele realizarse con anestesia local y requiere una fase posterior de integración con el hueso. Healthdirect describe que el hueso crece alrededor del implante durante aproximadamente tres meses, mientras que fuentes del NHS indican que el tratamiento total puede requerir varias etapas y varios meses, especialmente si hubo injerto.
5. Rehabilitación final y control
Una vez óseo integrado y luego de la conexión del implante al ambiente bucal, la restauración final debe ajustarse a función, encía, estética y mordida. Luego viene el control: higiene, tejidos periimplantarios, ajuste y seguimiento. El implante no termina cuando se instala. Termina cuando está bien rehabilitado y funcionando de forma razonable.
En casos muy seleccionados, los implantes también pueden ayudar a estabilizar una prótesis removible
Aunque el foco principal de esta página está en la reposición puntual de 1, 2 o hasta 3 dientes, en casos muy seleccionados también puede evaluarse si dos o tres implantes ayudan a mejorar la estabilidad y la retención de una prótesis removible.
Esto solo se considera cuando el hueso remanente, la anatomía del caso y el diseño protésico lo hacen realmente razonable. El objetivo en esos casos no es prometer una prótesis fija ni ofrecer una solución automática, sino ayudar a que una prótesis removible funcione con más seguridad y estabilidad.
En algunos pacientes esto puede lograrse mediante aditamentos como cabezas de bola o broches. Sin embargo, se trata de una indicación excepcional y no de una propuesta general para toda prótesis removible.
En las prótesis superiores, además, no prometemos eliminar el paladar ni convertir la prótesis en una solución atornillada. Lo que sí puede evaluarse, en casos ideales y específicos, es si los implantes pueden aportar una mejor estabilidad funcional tanto en prótesis superiores como inferiores.
Qué puede mejorar con 1, 2 o 3 implantes bien indicados
Cuando el caso está bien seleccionado, un implante puede devolver presencia dentaria, recuperar capacidad masticatoria, ayudar a mantener el espacio y ofrecer una solución fija sin intervenir innecesariamente dientes vecinos.
En la práctica diaria, además, muchos pacientes recuperan seguridad para sonreír, hablar y comer sin la sensación de vacío o inestabilidad que deja una pérdida puntual. Ese beneficio importa, pero no debe prometerse como magia. Depende del diagnóstico, del diseño protésico y del cuidado posterior.
Un implante bien indicado también puede ayudar a ordenar mejor la rehabilitación completa del sector. A veces lo que parecía solo un espacio ausente termina influyendo en la mordida, en la distribución de cargas y en la estabilidad de todo el lado que mastica.
“Un buen implante no se define solo por integrarse al hueso. Se define por cómo funciona, cómo se mantiene y cómo se rehabilita.” — Dr. Robert Manhood
Cuándo un implante no es suficiente o no es la mejor alternativa
Hay casos donde un implante no debe indicarse de forma automática. Puede haber falta de hueso, enfermedad periodontal activa, higiene deficiente, tabaquismo relevante, condiciones médicas que obligan a evaluar con más cuidado o una anatomía que haga más razonable otra opción.
También hay casos donde la alternativa más sensata puede ser un puente, una prótesis u otra estrategia rehabilitadora. Esa honestidad no debilita la página. La fortalece. Un paciente que siente que el diagnóstico fue serio entiende mejor el valor de la recomendación.
Por qué este servicio se trabaja mejor con evaluación clínica que con intuición
Muchos pacientes parten preguntando por el precio del implante o por cuánto tarda ponerlo. Pero antes de esas preguntas, hay otras más decisivas: si hay hueso, si la encía acompaña, si el espacio está bien conservado, si la carga será razonable y qué rehabilitación final será necesaria.
Una evaluación seria evita errores costosos: colocar un implante donde no había base suficiente, apurarse con tiempos biológicos o restaurar mal un caso que quirúrgicamente parecía simple.
Además puede revisar cómo trabajamos etapas, tiempos y orden de atención, en nuestra página explicativa.
Un enfoque compatible con la filosofía Clínica Manhood
Nuestra filosofía es simple: diagnóstico serio, planificación clara y control por etapas.
Eso significa que no transformamos un implante puntual en una promesa grandilocuente. Significa que seleccionamos el caso, explicamos si hace falta injerto, definimos si la solución protésica final será realmente favorable y recién entonces avanzamos.
No prometemos. Nos comprometemos.
Nos comprometemos a evaluar con criterio, planificar con seriedad y rehabilitar solo lo que tenga sentido clínico.
Implantes dentales en Puerto Varas: una evaluación ordenada puede cambiar mucho más que un espacio ausente
Cuando faltan 1, 2 o hasta 3 dientes, un implante puede ser una solución seria y muy útil. Pero solo cuando la base ósea, la encía, la mordida y la restitución final permitan construir algo estable y razonable en el tiempo.
Por eso en Clínica Manhood este servicio se aborda con criterio implantológico y rehabilitador. Primero entendemos el caso. Luego decidimos si el implante corresponde, si requiere una etapa previa de injerto o manejo biológico, y cómo debe resolverse su restauración final.
Si perdió uno, dos o hasta tres dientes y quiere saber con honestidad si un implante tiene sentido en su caso, solicite una evaluación clínica. Un buen diagnóstico puede ahorrar errores y ordenar mejor la solución desde el inicio.
Preguntas frecuentes sobre implantes dentales
¿Siempre que falta un diente conviene un implante?
No siempre. Muchas veces sí puede ser una muy buena alternativa, pero depende del hueso disponible, de la encía, de la posición de los dientes vecinos, de la mordida y del pronóstico general del caso. La ausencia dentaria por sí sola no basta para indicar un implante.
¿Si he perdido hueso, todavía puedo ser candidato a implante?
En algunos casos, sí. Pero puede ser necesario ordenar primero la base biológica con un injerto o con otra etapa preparatoria antes de pensar en la restauración definitiva. Lo importante es no forzar la indicación si el soporte no es suficiente.
¿El implante sale el mismo día con el diente definitivo?
No necesariamente. En muchos casos el tratamiento se hace por etapas: evaluación, cirugía, integración y luego rehabilitación final. Hay situaciones donde puede colocarse una solución provisional, pero eso depende del caso y no debe prometerse de forma automática.
¿Un puente puede ser mejor que un implante en algunos pacientes?
Sí. Hay casos donde un puente o incluso otra alternativa puede ser más razonable según el estado de los dientes vecinos, el hueso, la encía y el diseño del caso. Una buena evaluación no busca imponer implantes; busca indicar lo que realmente conviene.
¿Qué es lo que más influye en que un implante tenga buen pronóstico?
La suma de varios factores: diagnóstico correcto, base ósea suficiente, encía sana, higiene constante, diseño restaurador adecuado, control clínico y buena selección del caso. El implante no se sostiene solo por la cirugía; se sostiene por todo el tratamiento.
Si desea una explicación más amplia sobre implantes y temas relacionados, puede revisar nuestro glosario de términos dentales.

